CT肺ドックのご案内
CT肺ドックについて
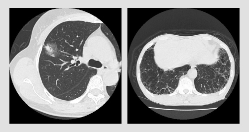
肺がんは自覚症状が少なく、発見しづらいと思いがちですが、早期発見すれば、治癒も可能な疾病です。
健康診断などで実施される通常のX線検査では、20mmくらいにならないとなかなか発見できませんが、マルチスライスCTによる検査なら、数ミリ単位(10mm以下)での肺がん発見が可能で、この段階であればほぼ治癒が可能とされています。
検査は、痛みを伴わず約20秒の息止め/15分程度の時間です。
また、肺がんのほか、肺気腫、炎症など、肺や周辺部のさまざまな疾病の発見が可能です。
CT肺ドックの検査内容と料金について
- CT肺ドック / 料金:25,000円
- 胸部CT検査

